骨が少なくても大丈夫?骨再生でインプラントが可能になる理由 #11 歯科コラム
- インプラント
- 骨造成
- ジルコニア・セラミック
- 口腔外科
- 歯周病治療
- 予防歯科
- 精密歯科治療
- 歯周病
- 虫歯
- 沖縄 歯医者
- 浦添 歯医者
- 那覇 歯医者
- Micデンタルクリニック
- 医療費控除
- 保険診療
- 自費診療
- デンタルローン
- カード決済
- 電子マネー決済
- 歯医者
- メインテナンス
「骨が足りない=インプラント不可」は過去の話です
インプラントの相談でご来院される方からよく聞くお話の一つが
「骨が足りないのでインプラントはできないと説明された」です。

実際、数十年前までは
骨量が不足している=インプラント不適応
と判断されるケースが多くありました。
しかし現在では、
歯科医療の進歩により 骨を再生・補う治療法 が確立され、
多くの方がインプラント治療を受けられるようになっています。
Micデンタルクリニックでは
「本当にインプラントができないのか」「できるとしたらどこまで安全か」
を、歯科用CTを用いた精密診断で見極めています。
▶︎ なぜ骨が少なくなるのか?|原因を理解することが第一歩
骨が不足する背景には、必ず理由があります。
-
抜歯後に長期間放置していた
-
歯周病によって骨が溶けていた
-
根の病気を繰り返して骨が溶けていた
-
入れ歯やブリッジで骨に力がかかっていなかった
-
上あごの奥歯で解剖学的に骨が薄い

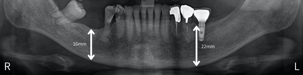
↑ 右側は骨がないのでインプラントはできないと言われご相談にいらした方のレントゲン画像。数年前に歯周病で歯を喪失したとのこと。
歯やインプラントがある左側は骨の厚みがあり、歯を失った右側は骨が痩せている。下顎の大きな神経管までの距離は約5mm。

↑歯の根の病気が原因(根尖性歯周炎)で、歯を喪失。抜歯4ヶ月後のレントゲン画像。骨はほとんど回復していない。
このように、歯が存在することで顎の骨(歯槽骨)が保たれています。
歯を失うと、その部分の骨は 自然に痩せていく のです。
▶︎ 骨が少なくても可能になる再生治療とは?
Micデンタルでは、状態に応じて以下の再生治療を使い分けます。
GBR(骨再生誘導法)
人工骨や自家骨を用い、骨が不足している部分を 再生 させる手術です。
部分的範囲〜広範囲まで対応できます。
-
世界中で行われている標準的骨造成治療
-
骨の「幅・厚み」を回復できる
-
インプラントの長期安定に直結する
ソケットリフト
上あごの奥歯で、上顎洞(鼻腔)を挙上し骨の厚みを確保する手術。
限局的におこなうため同時にインプラント埋入が可能なケースがほとんどです。
サイナスリフト
上顎の奥歯で、広範囲に上顎洞を挙上し骨の厚みを確保する手術。
より高度なテクニックと経験が必要となります。
Micデンタルが「骨造成」を慎重に行う理由
骨再生治療は「できるかどうか」だけでなく、やる必要があるかどうか の判断も非常に重要です。
Micデンタルでは
-
CTで骨の質・量などを評価、将来性も考慮
-
全身状態(糖尿病・喫煙・年齢など)を考慮
-
リスクと成功率を数値と経験で説明
長期的に安全かどうか を総合的に判断しています。
多くのケースでインプラントを予定している部分に骨を造る必要があるのですが、
インプラントを予定している部分に骨を造る必要がない場合は、メスを使わずにインプラントを埋入する「フラップレスインプラント」という手術方法となり、費用だけでなく術後の痛みやダウンタイムなどの負担を減らすこともできます。
▶︎ まとめ
骨が少なくてもインプラントは可能な場合がほとんどです。精密CT診断と骨や歯茎の再生治療が成功の鍵をにぎります。必要かどうかは専門的判断が必要が必要となりますので、本当はインプラントをしたいけど諦めていた、という方もぜひご相談ください。
関連記事:歯科コラム#1 歯科治療も対象!医療費控除の申請法 ,【徹底比較】歯科コラム#8インプラントvsブリッジvs入れ歯 歯を失ったらどれを選ぶ?
この記事の監修:沖縄県浦添市Micデンタルクリニック
日本口腔インプラント学会専門医
歯科医師・宮城 英生

