被せ物・詰め物
審美歯科は保険適応の治療と違い、保険治療では限界のある高度な機能面、見た目の美しさ、精密性を追求した治療になります。
「歯を美白」する医療ホワイトニングや、天然の歯のように美しい仕上がりのセラミックスの被せ物、歯茎の黒ずみを除去するレーザーピーリングなどです。
当院では、審美性や精度の求められる自費治療の詰め物や被せ物の治療は、保険適応の治療とは違い、マイクロスコープで約20倍の拡大視野で精密に歯の形を整え、変形の起こりにくいオーラルスキャナー(口腔内デジタルカメラ)で歯型を撮影し、コンピュータ上で設計、器械が作製し、より精度が高くひずみの少ない被せ物の作製をおこなっております。
審美治療を行った場合は、美しい状態を維持するためにもメインテナンスをお受けになられることをおすすめします。
被せ物・詰め物の治療
すきっ歯が気になる場合はダイレクトボンディング
ダイレクトボンディングとは、歯と歯の間のすき間や、歯がないところ、歯の長さが違うところ、または奥歯の銀の詰め物を白い詰め物にやりかえたいなどの場合に審美性・封鎖性・耐久性の高い白い詰め物を直接詰める精密治療です。歯型をとって出来上がるまで待つといったタイムラグを必要としないため、その日で治療が完了します。お急ぎの方にもおすすめです。
※かみ合わせによっては、ダイレクトボンディングを受けられない場合もございますので、まずはご相談ください。
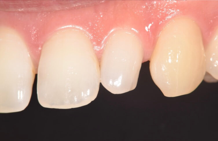
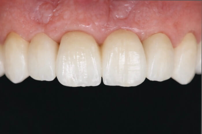
■すきっ歯
| 治療内容 | 正中離開と矮小歯にダイレクトポンディングを行ない形態を修正した。 |
|---|---|
| 費用 | ¥50,000×2本=¥100,000+tax |
| 副作用/リスク | ・治療時間が約1時間と長いため、口を開けっぱなしで疲れる。 ・かみ合わせによっては出来ない。外れたり、割れたりすることもある。 ・個人差はあるが数年すると着色してくることあり。その場合は、再研磨や再充填必要。 ・清掃不良の状態が続くと虫歯になることもある。 |
| メリット | ・通院回数が少なくてすむ。 ・健康な部分の歯を削らずにできる。 ・虫歯があって削る場合も最小限で済むので歯へのダメージが少ない。 ・セラミックなどの被せ物と比べて費用が安い。 ・保険治療のレジンが2年程で変色してくるのに比べ、自然な仕上がりで良い状態が続きやすい。 |
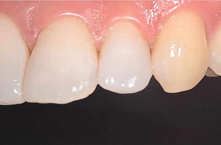
■ダイレクトポンティック
| 治療内容 | 前歯を喪失した部分に、ダイレクトポンティックを行い審美性を回復した。 |
|---|---|
| 費用 | ¥170,000+tax |
| 副作用/リスク | ・治療時間が1時間以上と長いため、口を開けっぱなしで疲れる。 ・かみ合わせによっては出来ない。 ・外れたり、割れたりすることもある。 ・個人差はあるが数年すると着色してくることあり。その場合は、再研磨や再充填必要。 |
| メリット | ・通院回数が少なくてすむ。 ・両隣の健康な歯を削らずにできる。 ・セラミックやインプラントなどの修復法と比べて費用が安い。 ・保険のレジンが2年程で変色してくるのに比べ、自然な仕上がりで良い状態が続きやすい。 |
より自然で美しい仕上がりに、セラミック
セラミックは、天然の歯に近い透明感があり、金属を使わないため腐食したり溶け出したりせず歯茎の黒ずみも出にくい耐久性のある材料です。
天然の歯と比べても汚れがつきにくい特徴もあります。
かむ力が強い方はジルコニアやゴールドがおすすめ
かむ力が強い方は、セラミックだと割れてしまうこともあります。
その場合は、こちらもセラミックと同様に腐食せずセラミックと比べると割れにくく耐久性と審美性も兼ね備えたジルコニア素材の詰め物や被せものがおすすめです。
歯と馴染みがよくアレルギー性の少ないゴールドも割れにくくおすすめです。










